9月21日(日)・27日(土)・28日(日)は
動物慰霊祭及び学会参加の為、
休診となりますので、ご注意ください。
10月19日(日)終日・11月8日(土)午後・9日(日)終日
も学会参加の為、休診となりますので、ご注意ください。
インターネットやSNSで調べてご来院されることが多いからもあ るのでしょうが、
ここ最近とにかくFIP(猫伝染性腹膜炎) の子が多く来院しています。
また主治医の先生からのご紹介で来院される猫ちゃん・ 飼い主さんもいらっしゃいます。
先週は他の動物病院さんでFIP疑いと診断された猫ちゃんが2件 、
来院されています。
1件は他の動物病院さんで、 FIPの疑いが強いけど遺伝子検査結果待ち、 という高齢の猫ちゃん。
もう1件はFIP疑いだけど他の動物病院さんでのFIPの遺伝子 検査では陰性だった、という子猫ちゃん。
総合的にはFIPの可能性が非常に高いのに、
腹水・ 胸水の遺伝子検査で陽性反応が出ないケースが稀にあります。
この場合、再度遺伝子検査を行い確認します。
検査というのも100%ではない為、
1回目の検査では陰性でも2回目の検査で陽性反応が出ることが
稀にあるのも事実です。
上述した高齢の猫ちゃんは腹水の細胞診検査の結果、
リンパ腫と判断しましたので、
この場合にはFIP遺伝子検査の結果は関係なく、
リンパ腫の治療を行うことになりました。
もう1件の子猫ちゃんは総合的にはやはりFIPだろうと判断、
当院で再度遺伝子検査をさせてもらったところ、
今回は陽性反応が出ましたので、FIP治療を開始。
治療開始後すぐに体調が改善してきている、ということでした。
先週はさらにその猫ちゃん達とは別に、
元々当院に通ってくれていた飼い主様で、
FIPドライタイプと診断した子猫ちゃんも1件。
ドライタイプという腹水や胸水が溜まらないタイプの場合、
抗体価というものやSAA・α1AGPという炎症マーカー・
血液中の遺伝子検査などを総合して判断することになります。
当院ではFIP治療として3つの薬を準備しており、
現時点で、当院でのFIP治療成績は95%以上の子が完治・ 完全寛解、
1例で治療後再発が見られましたが再度治療を行い、
現在は症状もなく元気に過ごせています。
FIPとの戦い方がかなりわかってきています。
FIP疑いと説明を受けている場合やFIPの治療を行う場合など 、
ご心配・ご不明点がある方はご相談ください。
写真1枚目
FIPドライタイプの子猫ちゃん、
子猫ちゃんで目に異常が出る場合には要注意です。
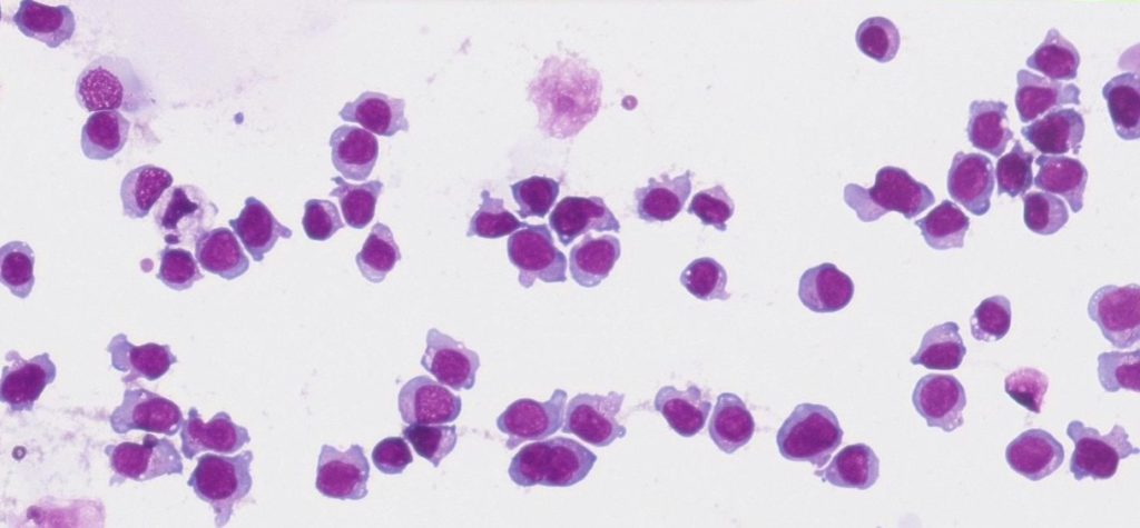
写真2枚目
腹水の細胞診検査。リンパ腫というがんの細胞が見られます。
腹水にこのような細胞が見られた場合にはリンパ腫として治療が必要です。
LGLリンパ腫(大顆粒リンパ球性リンパ腫)
#静岡市
#動物病院
#FIP
#伝染性腹膜炎
#猫伝染性腹膜炎
#猫
#感染症
#獣医
#外科
#内科



